Pneumotorax je stav, při kterém pronikne vzduch ze plic do pleurální dutiny (pohrudniční dutiny) – dutina obalující plíce. Nejčastěji pneumotorax vzniká při poranění hrudníku či plic, a při některých lékařských zákrocích.

Pneumotorax – Wikipedie

Pneumotorax (PNO) je definován jako nahromadění vzduchu či jiného plynu v pleurální dutině. Pleurální dutina je uzavřený prostor obklopující plíce, je ohraničený nástěnnou a plicní pleurou a je v něm podtlak.

Pneumotorax | NZIP

Při pneumotoraxu se vzduch dostává do pleurální dutiny, což je mezera mezi plícemi a hrudní stěnou (přesněji mezi poplicnicí a parietální pleurou). Následkem ...

Pneumotorax — neboj se pomoci!

Víte, jaká jsou nejaktuálnější doporučení a proč už se otevřený pneumotorax nemá zavírat? Neboj se pomoci! a nauč se, jaké jsou nové postupy v první pomoci.

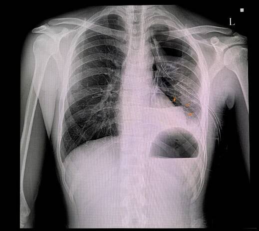
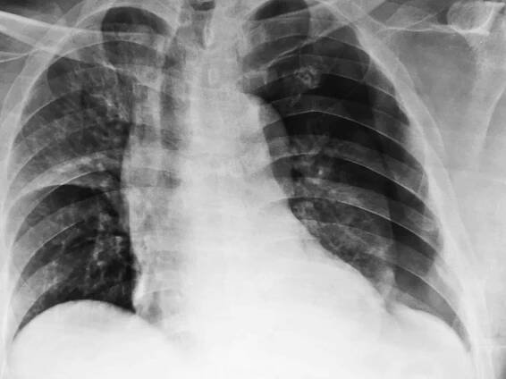
ObrázkyPneumotorax plic

Obrázek: Zhroucená plíce
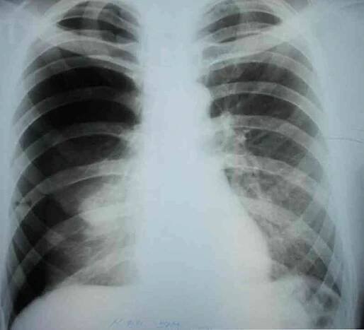
Rentgenový snímek – pneumotorax levé plíce a nahromadění vzduchu v pleurální dutině hrudníku (bílá barva). Zdroj: Getty Images
Pneumotorax - RTG | Medicína, nemoci, studium na 1. LF UK
Pneumotorax plic / Pneumotorax | Užitečné informace a tipy na péči o sebe. Zdraví, výživa a další.
rentgen bočního pohledu psa uzavřený v hrudníku a hrudníku s červeným zvýrazněním v průdušnice dýchacího systému do plic známky pneumonie a bronchitidy- veterinární medicína a veterinární anatomie - pneumotorax - stock snímky, obrázky a fotky
Jak odstranit pneumotorax?
Pneumotorax: Nahromaděný vzduch, o který nikdo nestojí - Info Pacient
3d ilustrace pneumotoraxu, normální plíce versus zhroucené, příznaky pneumotoraxu, pleurální výpotek, empyém, komplikace po poranění hrudníku, vzduch v pleurálním prostoru, 3d render - pleural cavity - stock snímky, obrázky a fotky
Nová terapeutická možnost u pacientů s perzistujícím astmatem - Plíce Pod Kontrolou

Pneumotorax | Medicína, nemoci, studium na 1. LF UK

Termín pneumotorax (pneumothorax) vznikl spojením slova pneumos (vzduch) + slova thorax (hrudník). Jde tedy o stav, kdy se v hrudní dutině objeví vzduch. Proč je tato situace tak závažná a čím nás ohrožuje si povíme v následujícím textu.
Při pokusu o sdílení polohy došlo k chybě
Více informací
odkazuje na služby nejen od Seznam.cz.

© 1996–2025 Seznam.cz, a.s.