PML - Professional Muaythai League |

PML - Professional Muaythai League, najväčšia organizácia postojárskych bojových športov v Česku a na Slovensku.

Progresivní multifokální leukoencefalopatie – Wikipedie

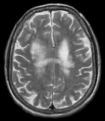
Progresivní multifokální leukoencefalopatie (PML), známá též jako progresivní multifokální leukoencefalitida, je vzácné a obvykle fatální virové onemocnění, které je charakteristické progresivním poškozením (-patie) nebo zánětem bílé hmoty…

Živě: Odborný kulatý stůl Psychomodulační látky v praxi

Před 5 dnyThink tank Racionální politiky závislostí pořádá v úterý 30. září odborný kulatý stůl Psychomodulační látky v praxi: silné stránky, výzvy a příležitosti, dialog mezi regulátory, odborníky a praxí.

VIDEO: Spicy Pája se má na co těšit. Raška zničil na PML ostříleného soupeře

Před 7 dnyJiž tradiční stáj PML se v sobotu večer vrátila do Třince a také tentokrát se na galavečeru s číslem 16 uskutečnilo hned šest klání pod pravidly MMA. V organizaci se již představila bezesporu i větší jména než nyní, nicméně velkým tahákem…

Totální bitva v Třinci. Poražený odmítl KO, pokaždé vstal a bojoval

Před 7 dnyPML v Třinci opět předvedlo super zápas. Antal jasně ovládl tento atraktivní souboj, ale svoji porci kvality a tvrdosti si přidal také poražený Zambaga.

Progresivní multifokální leukoencefalopatie (PML) je způsobena reaktivací saprofytického papovaviru.

Úvodní stránka - Kovo-pml

V roce 2020 jsme úspěšně zavedli v naší firmě certifikaci dle ISO9001!

Psychomodulační látky (PML) | Realkratom.cz

Jak se změní nákup Kratomu s platností PML? Od 1.7. bude nutné ověření věku, balení max. 50 g a přísnější regulace pro prodejce. Více informací zde.

Žebříčky PML | PML - Professional Muaythai League

2022 PML - Professional Muaythai League / Created by noGrey

Progresivní multifokální leukoencefalopatie

Progresivní multifokální leukoencefalopatie (PML), známá též jako progresivní multifokální leukoencefalitida, je vzácné a obvykle fatální virové onemocnění, které je charakteristické progresivním poškozením (-patie) nebo zánětem bílé hmoty (leuko-) mozku (-encefalo-) na různých místech (multifokální). Vyskytuje se téměř výhradně u lidí s těžkou imunodeficiencí… Wikipedie

Lidé také hledají

Ebola
Virus
Mánie
Duševní porucha
SARS
Virus
Při pokusu o sdílení polohy došlo k chybě
Více informací
odkazuje na služby nejen od Seznam.cz.

© 1996–2025 Seznam.cz, a.s.