Peritonitida

Zánět pobřišnice neboli peritonitida patří mezi náhlé břišní příhody. V případě, kdy pacient nevyhledá včas lékaře, může skončit tragicky. Hrozí totiž, že se do břišní dutiny dostane infekce.

Příznaky

Nejčastějšími příznaky jsou silná bolest břicha, to je na omak tvrdé. Spolu s tím horečka, někdy i nevolnost.

Inkubační doba

Nemoc vzniká během několika hodin.

Léčba

V případě, kdy se odhalí včas, je léčitelná antibiotiky, případně chirurgickým zákrokem.

Smrtnost

Pokud pacient podcení návštěvu lékaře, může dojít ke komplikacím, které mohou vést k úmrtí. To ve zhruba pěti až deseti procentech.

Prevence

Nemoci nelze předejít.

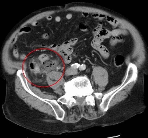
Peritonitida je zánět pobřišnice (serózní membrány, která obaluje část dutiny břišní a některé břišní orgány). Může být lokalizovaná nebo generalizovaná, obecně má akutní průběh a může být způsobena buď infekcí (často z ruptury dutého orgánu, například při poranění břicha), anebo neinfekčním procesem.

ObrázkyPeritonitida

bolest v pravé straně. muž trpí nemocným nepohodlím pod žebry cítit ostrou bolest izolované studiové zdi - nízký výřez - stock snímky, obrázky a fotky
Peritonitida je zánět pobřišnice.
Peritonitida – WikiSkripta

Peritonitida » Medixa.org

Peritonitida je zánět pobřišnice, blány, která vystýlá dutinu břišní a zároveň obaluje orgány, které se v této dutině nacházejí.

Náhlý zánět, který v krajním případě může skončit smrtí. Proč není radno podceňovat bolesti břicha?

5. 2. 2021Zánět pobřišnice patří mezi náhlé břišní příhody. Nebezpečný stav, při kterém může jít o život. Hrozí, že se do břicha dostane infekce a rozšíří se tak na další orgány.

Zánět pobřišnice může být smrtelně nebezpečný. Nejčastěji jej způsobují různé mikroorganismy

18. 6. 2024Zánět pobřišnice může pacienta ohrozit na životě. Jeho léčba vyžaduje podávání antibiotik a někdy i operaci. Jak poznat zánět pobřišnice?

Peritonitida | Nemoci a příznaky | Domácí lékař | Pro ženy…

Peritonitida, nebo také zánět pobřišnice, je velmi vážné onemocnění. Pobřišnice je blána, která obepíná vnitřní dutinu břišní a pokrývá orgány. K peritonitide dochází ve chvíli, kdy je tato pobřišnice napadena bakteriemi.

Peritonitida – WikiSkripta

Internetové studijní materiály pro studenty českých a slovenských lékařských fakult.

peritonitida | NZIP

Peritonitida je odborný název pro zánět pobřišnice. Viz také -itida.

Peritonitida - zánět pobřišnice | Medicína, nemoci, studium na…

Zánět pobřišnice se odborně označuje jako peritonitida a řadíme ji mezi stavy označované jako náhlé příhody břišní. Jedná se o smrtelně nebezpečný stav, který je charakteristický průnikem bakterií do dutiny břišní.

Peritonitida

21. 9. 2011Peritonitida neboli zánět pobřišnice (lat. peritoneum) je akutní, život ohrožující stav.
Při pokusu o sdílení polohy došlo k chybě
Více informací
odkazuje na služby nejen od Seznam.cz.

© 1996–2025 Seznam.cz, a.s.