Optická neuritida – Wikipedie

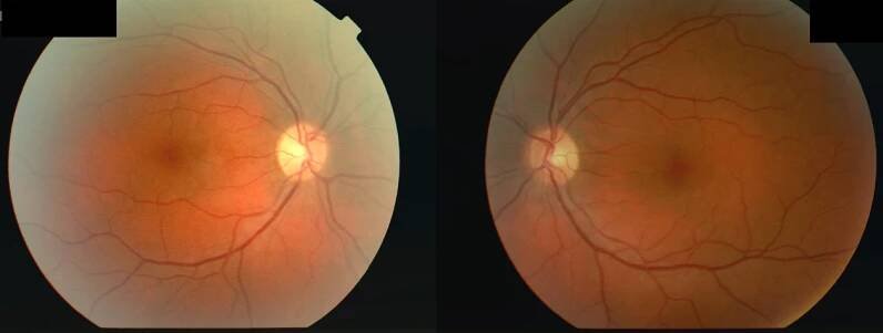
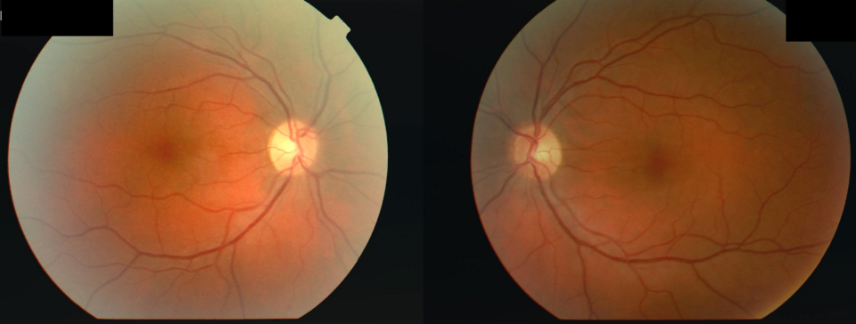
Optická neuritida (ON) [2 ], známá též jako retrobulbární neuritida je zánět zrakového nervu, který může způsobit úplnou nebo částečnou ztrátu zraku.

Zánět očního nervu (Oční neuritida) - Ordinace.cz

Oční neuritida je akutní zánětlivé onemocnění zrakového nervu, při kterém je klinickým projevem postižení zrakových funkcí. Statisticky...
Myelinová pochva - zdravá a poškozená
Optická neuritida
Optickou neuritidu nepřehlédnete. Jak souvisí s roztroušeno...

Neuromyelitis optica | MojeMedicina.cz

Neuromyelitis optica je vzácné, autoimunitní onemocnění centrálního nervového systému, které poškozuje zrakový nerv a míchu a podobá se roztroušené skleróze. Zjistětě víc.

Neuromyelitis optica a onemocnění jejího širšího spektra

Mezi časté klíčové klinické charakteristiky patří optická neuritida, myelitida a syndrom area postrema. I přes výrazné zlepšení diagnostického procesu díky dostupnosti vyšetření protilátek proti AQP4 stále dochází k prodlení u stanovení…

Neuromyelitis optica a další vzácné formy demyelinizace | MT

Neuromyelitis optica a další vzácné formy demyelinizace » Souhrn Neuromyelitis optica je autoimunitní onemocnění postihující mozek a míchu.…

Neuromyelitis optica a poruchy jejího širšího spektra | SEVT.cz

Mezi časté klíčové klinické charakteristiky patří optická neuritida, myelitida a syndrom area postrema. I přes výrazné zlepšení diagnostického procesu díky dostupnosti vyšetření protilátek proti AQP4 stále dochází k prodlení u stanovení…
Cena 449 KčNení skladem

Optická neuritida | uLékaře.cz

Dobrý den, je mi 18 let, mám už asi dva roky občasné ataky výpadku zorného pole, většinou v trvání 2-5 hodin, (cca 1 za 3 měsíce). Na očním mi zjistili že oči mám v pořádku, tak mě neuroložka poslala na VEP, kde mi zjistili prechiasmatickou…

Neuromyelitis optica a onemocnění jejího širšího spektra…

Neuromyelitis optica a onemocnění jejího širšího spektra Přehled základních patogenetických mechanismů u neuromyelitis optica (Nmosd) a poruch jejího širšího spektra. Osvětluje diferenciálnědiagnostické postupy,..

Optická neuritida

Optická neuritida (ON), známá též jako retrobulbární neuritida je zánět zrakového nervu, který může způsobit úplnou nebo částečnou ztrátu zraku. Nemusí však postihnout oba zrakové nervy. Hlavními symptomy jsou zmíněná náhlá ztráta zraku nebo náhlé zamlžené vidění a bolest při pohybu postiženého oka. ON většinou postihuje mladé dospělé ve věku 18–45 let, s průměrným… Wikipedie

Lidé také hledají

Ebola
Virus
Mánie
Duševní porucha
SARS
Virus
Při pokusu o sdílení polohy došlo k chybě
Více informací
odkazuje na služby nejen od Seznam.cz.

© 1996–2025 Seznam.cz, a.s.