Doba zotavování po operaci haluxu se pohybuje od několika týdnů až po několik měsíců a podle slov mnohých pacientů, kteří operaci vybočeného palce podstoupily, bylo období zotavování velmi bolestivé.

Vbočený palec (hallux valgus) – Ortopedie a fyzioterepie

Na počátku je vhodné také přikládání tzv. korektorů, které rovnají postavení palce do správné polohy.
Neobsahuje haluxu rekonvalescence

Trápí vás hallux valgus? Předejděte operaci - Pro-nožky.cz

Vbočený palec na noze, jak se tento zdravotní problém nazývá v češtině, trápí mnoho lidí všech věkových kategorií, zejména pak dospělé od 40. do 60. roku.
Neobsahuje haluxu rekonvalescence

Hallux - jak dlouho trvá léčba? - Diskuze - eMimino.cz

18. 5. 2019Hallux - jak dlouho trvá léčba? už rozebírají maminky na webu eMimino. Podívejte se na jejich rady a přidejte do diskuze své zkušenosti.
Neobsahuje haluxu rekonvalescence

RADA: Jak správně rehabilitovat po operaci haluxu

Jsem po operaci vbočeného palce (hallux valgus) a půjdu na rehabilitace. Vím, že mi hodně informací řekne lékař, ale jsou obecně nějaké rady, jak si počínat při rehabilitaci haluxu?
Neobsahuje rekonvalescenceMusí obsahovat rekonvalescence

Rekonvalescence po operaci Hallux rigidus: Co očekávat a jak…

Hallux rigidus je označení pro bolestivou a omezenou hybnost v základním kloubu palce u nohy – tedy v metatarzofalangeálním kloubu. Zjednodušeně řečeno, jde o artrózu palce, při které dochází k degeneraci chrupavky, tvorbě výrůstků…
Neobsahuje haluxuMusí obsahovat haluxu

Vbočený palec aneb Operace halluxu. Co tě čeká?

11. 7. 2017Patříš k těm, kterým hyzdí vnější stranu chodidla nevzhledný hrbol? Máš problém koupit si boty, nebo rovnou sáhneš po o číslo větších, protože ve své velikosti nevydržíš? Pak máš vbočený palec, nebo také hallux.

Hallux valgus = vbočený palec | Little Shoes

Co je hallux valgus? Jak vbočený palec vzniká? Jakými příznaky se projevuje? Jaká cvičení na hallux pomáhají a jak ho léčit?
Neobsahuje haluxuMusí obsahovat haluxu

Vbočený palec - příčiny vzniku haluxů

Vbočený palec je onemocnění, které může vzniknout geneticky nebo v důsledku špatně zvolené obuvi. Podívejte se, jak s ním bojovat.
Neobsahuje rekonvalescenceMusí obsahovat rekonvalescence

Vbočený palec – Wikipedie

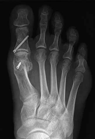
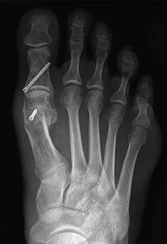
Operaci lze provádět otevřeným přístupem anebo modernějším zavřeným přístupem pod kontrolou rentgenu. [2 ] Níže fotografie nohy téže pacientky před a po zákroku:
Neobsahuje haluxuMusí obsahovat haluxu

Rychlejší návrat po operaci - Podporuje rychlou regeneraci

ProfiFYTO+Enzym kombinace enzymů a extraktů, regenerace po operacích a úrazech.
Jungmannova 17/3, Praha
Při pokusu o sdílení polohy došlo k chybě
Více informací
odkazuje na služby nejen od Seznam.cz.

© 1996–2025 Seznam.cz, a.s.