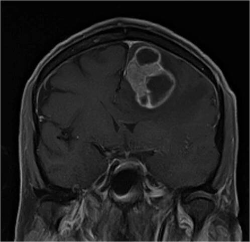
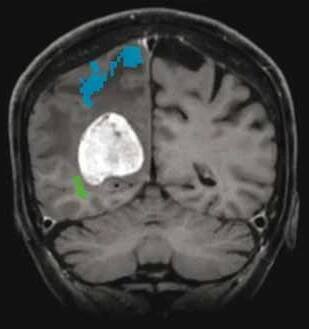
Mozkové metastázy je nádorové onemocnění, kdy nádor vznikne v jiné části těla a do mozku se následně rozšíří. Někdy se tento tumor nazývá sekundární. Jedná se o zcela odlišnou situaci, než když se zhoubný útvar nejprve utvoří v mozku (primární mozkový nádor).

Nádory mozku: klasifikace a formy | NZIP

Podle toho, z jakých buněk mozku vzniká primární nádor, odborníci rozlišují různé typy nádorů mozku. V současné době je známo více než 100 typů primárních nádorů ...

Nádory mozku – Wikipedie

Nádory mozku nebo také intrakraniální nádory jsou takové nádory, které postihují mozek a mozkové obaly (mozkové pleny). Může se jednat jak o nádory primární, tedy o nádory vzniklé přímo z příslušných tkání, tak i o nádory sekundární, tedy…

Nádorová onemocnění mozku | Neurochirurgická a neuroonkologická…

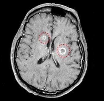
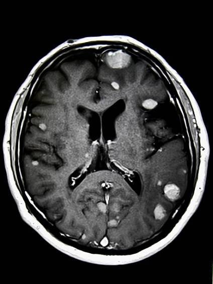
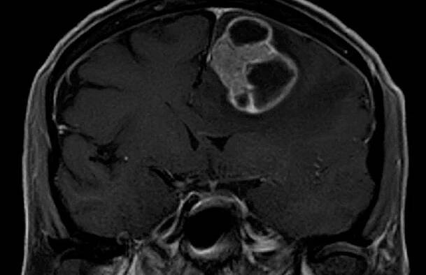
Mozkové metastázy jsou sekundární – druhotné nádory mozku, jejichž původem jsou nádory jinde v těle. Nejčastěji do mozku a míchy metastazují karcinom plic, ledvin, u žen karcinom prsu, a dále zhoubný melanom.

Metastáze na mozku | uLékaře.cz

Objevily se u vás v poslední době bolesti hlavy spojené se zvracením, světloplachostí nebo narušením poznávacích a pohybových schopností?
Metastázy | studio Forbio
Incidence mozkových metastáz a intrakraniální aktivita soto...
Mozkové metastázy nejsou absolutní kontraindikací antiagreg...
Melanom mozku (na hlavě) / Melanom
Stereotactic RT Cuts Neurologic Deaths in SCLC, Brain Mets
Rakovina plic v mnoha případech metastazuje do mozku
Anatomie lidského nervového systému, neurální karcinom, Sebaceous bulb, nádor mozku nádor maligní buňky růst a šíření, meningiom, neurologické onemocnění, metastázy rakovinné, mozečku, 3d vykreslení — Stock záběr
Chirurgická léčba mozkových metastáz
Neurochirurgická klinika dětí a dospělých 2. LF UK a FN Motol - Fakultní nemocnice v Motole

O nádorech mozku a míchy » Linkos.cz

Obsah: Co je nádor a jak vzniká? Nádory mozku a míchy – v čem jsou odlišné od ostatních? Primární nádory mozku – jaký je výskyt? Jaké jsou vyvolávající faktory? Příznaky onemocnění Vyšetřovací metody Léčba primárních mozkových nádorů Léčba…

Nádor na mozku je tichý zabiják. Prozradit ho mohou bolesti hlavy

Před 5 měsíciNádory na mozku patří k velmi vážným zdravotním problémům. Mohou postihnout kohokoliv a být opravdu zákeřné. Někdy se je totiž nepodaří odhalit včas,…

Funkční anatomie a neurologické projevy mozkových metastáz

Mozkové metastázy jsou častou komplikací systémových nádorových onemocnění, z nichž 60–75 % se v průběhu života stává symptomatickými.

Metastázy v mozku

5. 3. 2018

Nádory mozku a míchy / Masarykův onkologický ústav Brno

Nádory mozku a míchy, souhrnně centrálního nervového systému, jsou velmi rozmanitou skupinou onemocnění. Dělíme je na primární, které vznikají z buněk mozkové tkáně nebo okolních struktur, a na sekundární nádory, tedy metastázy jiného…

Nádorů mozku v Česku přibývá, lékaři musí někdy operovat pacienta při vědomí

28. 5. 2019Nádorů mozku přibývá, ročně jich lékaři odhalí kolem devíti set. Většina nemocných nepřežije. Nutná je chirurgická operace, v případech, kdy je třeba kontrolovat funkce mozku, se provádí při vědomí pacienta.
Při pokusu o sdílení polohy došlo k chybě
Více informací
odkazuje na služby nejen od Seznam.cz.

© 1996–2025 Seznam.cz, a.s.