Roste počet pacientů se zhoubnými nádory kůže, umírají ale méně
Melanom je nejagresivnější kožní nádor. Jaké jsou jeho příznaky?
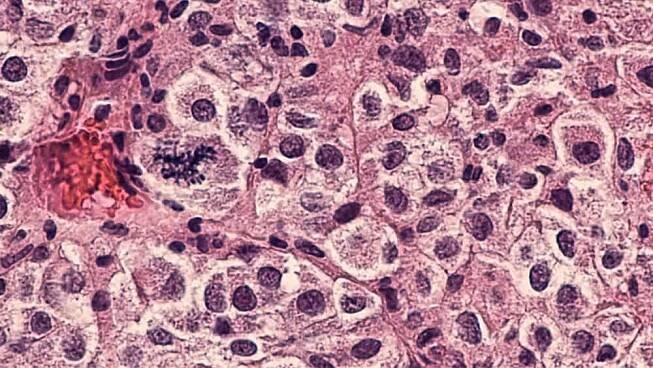
Metastázy melanomu / Melanom
Metastáza melanomu
Naděje pro boj s rakovinou kůže má jméno ISC-4
Melanom je nejagresivnější kožní nádor. Jaké jsou jeho příznaky?
Melanom nepravidelného tvaru, černě pigmentovaný. Navíc jsou viditelné i okrsky depigmentace.
Současný stav léčby pokročilého melanomu - PROFI Medicína
Melanom
Fotografie kožních chorob | Česká Akademie dermatovenerologie

…vytváří nové kolonie nádoru. Metastazovat mohou časem všechny formy melanomů. U některých je toto riziko poměrně nízké a může trvat mnoho let, u jiných je riziko vysoké. Například nodulární melanomy představují jednu z nejagresivnějších forem, mohou metastazovat již za několik týdnů nebo měsíců od vzniku nádoru.

ŽENA-IN - Další významný průlom v léčbě metastazujícího zhoubného melanomu

12. 3. 2018Metastazující zhoubný melanom, patří k vysoce agresivním kožním nádorům, jehož výskyt neustále roste – každých 10 let se přibližně zdvojnásobí. Vychází z pigmentotvorných buněk a na jeho vzniku se podílí především ultrafialové záření, a to…

Melanom je nejagresivnějším typem rakoviny, nepodceňujte kontrolu pigmentových znamének

5. 5. 2020Zhoubný nádor melanom patří mezi velmi agresivní nádory, jelikož má tendence velmi rychle metastázovat. Nejčastěji se nachází na kůži, ale nejsou vzácností případy, kdy se objeví v oku či na sliznici.

Lidé, kontrolujte si znaménka. Lékařka popsala, jak se umírá na melanom

► 1:03
Před 12 měsíciPo konci léta je podle dermatologů nejlepší čas na kontrolu znamének na kůži. Ta se totiž kvůli UV záření ze slunečních paprsků někdy mohou proměnit v…

Maligní melanom a ostatní nádory kůže » Linkos.cz

Obsah: Rakovina kůže Anatomie a funkce kůže Co to vlastně je rakovina kůže? Jak se rakovina kůže projevuje? Jak vlastně rakovina kůže vzniká? Je dědičná? Existují rizikové faktory jejího vzniku?

Pokrok ve výzkumu kožního melanomu: Vědci představují nový…

Vědci z Mezinárodního centra klinického výzkumu (ICRC), Biofyzikálního ústavu Akademie věd ČR a Masarykovy Univerzity vyvinuli model melanomu, zhoubného nádoru kůže, který spontánně metastázuje do lymfatických uzlin a plic.

Melanom je velmi agresivní nádor. Rakovinu kůže poznáte podle podezřelých změn

Před 4 měsíciMelanom je nejzhoubnější formou rakoviny kůže, pokud je ale řešen včas, může být zcela vyléčitelný. Jaké jsou typické příznaky?

Rakovina kůže v podobě melanomu - Lékárna.cz

Přečtěte si co je kožní melanom jak se liší melanom od znaménka co je to skrytý melanom rakovina kůže typy rakoviny kůže
Neobsahuje metastázyMusí obsahovat metastázy

Rakovina kůže: co to je, příčiny a rizikové faktory | NZIP

Existují různé typy rakoviny kůže. Nemelanomové kožní nádory – zvláště bazaliom a spinaliom – se vyskytují mnohem častěji než melanomy. Výskyt zhoubných nádorů ...
Při pokusu o sdílení polohy došlo k chybě
Více informací
odkazuje na služby nejen od Seznam.cz.

© 1996–2025 Seznam.cz, a.s.