Péče o chrup - Co zupůsobuje zubní kaz?

Veškeré informace o tom, jak správně pečovat o zuby, předcházet kazu a včas jej rozpoznat.
Rovnátka bez starostíSprávné čištění zubůOn-line interaktivní mapaRady & tipy

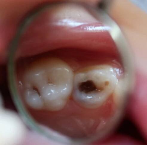
Zubní kaz (latinsky caries dentalis) je infekční onemocnění tvrdých zubních tkání – tedy skloviny a dentinu. Vzniká působením kyselin, které produkují bakterie přítomné v zubním plaku. Tyto bakterie se živí zbytky cukrů z potravy. Vzniklé kyseliny naleptávají zubní sklovinu a vytvářejí drobné defekty – ty…

ObrázkyKaz

Zuby, zoubky, zubaři | Zubní kaz, ano či ne?
Zuby, zoubky, zubaři | Kaz mezi zuby? A hledání zubare
Zuby, zoubky, zubaři | Zubní kaz u tříletého dítěte, bílé stoličky
Kaz Na Prednim Zubu - Léčba, která vás překvapí! Červenec 2025 - Magazin-Kleopatra.cz
Zuby, zoubky, zubaři | Kaz na zubech
Zuby, zoubky, zubaři | Kaz na zubech
Kaz či zubní kámen? - Diskuze Omlazení.cz
Zachraň mléčnou pětku: 3.díl kaz na žvýkací plošce
D04850FA-031A-416B-BE5C-F38DB49DCB6D.jpeg

Zubní kaz – Wikipedie

Zubní kaz začne prorůstat hlouběji do zubu, kde může způsobit bolestivý hnisavý zánět v oblasti kořene. Jedinou možností léčby se v takovém případě stává ošetření kořenového kanálku nebo dokonce chirurgický zákrok.

Jak na zubní kaz?

Před 13 dnyZubní kaz je nejrozšířenějším infekčním onemocněním na světě, a přestože je u nás péče finančně dostupnější, nežli je tomu u našich sousedů na západ, tak se ve statistikách dentálního zdraví pohybujeme stále až za nimi.

Zubní kaz - Mojezdraví.cz

Před 10 dnyZubní kaz se nemusí projevovat vůbec nijak anebo se projevuje citlivostí až bolestivou reakcí na kyselé, sladké, studené nebo horké. Při kontaktu s jedním ze zmíněných projede zubem ostrá bolest nebo může zub bolet dlouhodobě.

Zubní kaz: jak vzniká a jak se ošetřuje? | Pilulka.cz

Máte jen z pomyšlení na zubaře stažený žaludek? Zde se dozvíte, jak vzniká zubní kaz, co vám s ním zubař může udělat a také jak mu nejlépe předcházet.

Zubní kaz: co to je? | NZIP

Zubní kaz je svým způsobem „infekční“ onemocnění, které způsobují kyseliny z bakterií. Toto civilizační onemocnění je velmi rozšířené, v České republice postihuje ...

Zubní kaz - příčiny, prevence a léčba | Herbalus

Zubní kaz patří mezi nejrozšířenější zdravotní problémy na světě, přesto mu lze ve většině případů snadno předejít. V článku se dozvíte, jak kaz vzniká, jaké jsou jeho hlavní příznaky, rizikové faktory a jak mu předcházet.

Zubní kaz: Skrytá hrozba pro vaše zuby – jak ho porazit?

Osvětlíme vám nejen to, co je dentální hygiena, ale také jak si správně čistit zuby, abyste nemuseli mít z bolestivosti procedur strach.

Vše o zubním kazu: prevence, příčiny a léčba | Clinic for Smile

Podrobné informace o tom, jak zubní kaz vzniká, jak se mu vyhnout a jak ho léčit.

Zubní kaz - Modrý koník

Zubní kaz (lat. caries dentis) je bakteriální onemocnění tvrdých zubních tkání. Způsobuje ho Streptococus mutans. Vzniká tím, že napadne povrch zubu, kde je vyživován sacharidy přijímanými v potravě.
Při pokusu o sdílení polohy došlo k chybě
Více informací
odkazuje na služby nejen od Seznam.cz.

© 1996–2025 Seznam.cz, a.s.