Karyotyp – Wikipedie

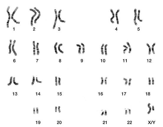
Karyotyp je soubor všech chromozómů v jádře buňky. V buněčných jádrech určitého organismu a druhu je konstantní do počtu, velikosti i tvaru chromozómů a jako takový se používá jako druhový znak.

ObrázkyKaryotyp

Karyotyp
Úkol A – karyotyp
Karyotyp – Wikipedia

karyotyp | NZIP

Karyotyp je kompletní soubor chromozomů konkrétního člověka. Typická lidská buňka obsahuje 23 párů chromozomů (22 párů autozomů a jeden pár pohlavních chromozomů, ...

Chromozomální vyšetření (karyotyp) | Gennet

‌Co jsou chromozomy? Chromozomy jsou bloky genů typického tvaru a počtu uložené v jádrech všech buněk. Člověk má 23 páry chromozomů, tedy 46 chromozomů. Jeden člen páru pochází od matky, druhý od otce.

VideaKaryotyp

Karyotyp

30. 1. 2023

Stanovení karyotypu | Genetika Plzeň

Lidský karyotyp má 46 chromosomů, 22 párů (jedna sada od otce, druhá od matky) je pro muže i ženu stejná, rozdílné jsou pohlavní chromosomy:

Lidský karyotyp – WikiSkripta

Internetové studijní materiály pro studenty českých a slovenských lékařských fakult.

Karyotyp | Medicína, nemoci, studium na 1. LF UK

Karyotyp je odborné označení pro soubor všech chromozomů v buňce. U člověka je v normálním karyotypu 46 chromozomů, z toho dva jsou gonozomy (chromozom X a chromozom Y).

Laboratoř lékařské a reprodukční genetiky| RepromedaLab

Karyotypizace, základní vyšetření před IVF, které ...

Chromozom – Wikipedie

Soubor všech chromozomů v jádře se nazývá karyotyp. Chromozomy jsou pozorovatelné světelným mikroskopem především při buněčném dělení.

karyotyp | Velký lékařský slovník On-Line

Karyotyp – soubor chromozomů uspořádaný podle jejich jednotlivých druhů v diagramu. Člověk má 46 chromozomů, z toho 44 jsou tzv. autozomy ve 22 párech a 2 jsou pohlavní chromozomy gonozomy X a Y. K. ženy je 46 XX, k.

Karyotyp | Cseh IVF

Karyotyp je vizuální reprezentace chromozomů v buněčném jádře organismu. V lidské genetice a reprodukční medicíně je analýza karyotypu důležitým nástrojem pro

Karyotyp

Karyotyp je soubor všech chromozómů v jádře buňky. V buněčných jádrech určitého organismu a druhu je konstantní do počtu, velikosti i tvaru chromozómů a jako takový se používá jako druhový znak. Karyotyp je jeden ze základních objektů cytogenetiky. Wikipedie

Při pokusu o sdílení polohy došlo k chybě
Více informací
odkazuje na služby nejen od Seznam.cz.

© 1996–2025 Seznam.cz, a.s.