Karcinom in situ je termín používaný k popisu velmi raného stádia rakoviny, kdy nádorové buňky zůstávají na místě svého původu a nešíří se do okolních tkání. Slovo „in situ“ pochází z latiny a znamená „na místě“. V tomto stadiu jsou rakovinné buňky abnormální a mají potenciál stát se invazivní rakovinou,…

ObrázkyKarcinom in situ

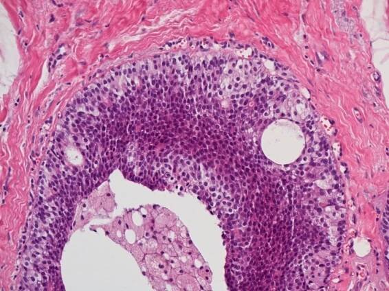
Lobulární karcinom in situ (LCIS)
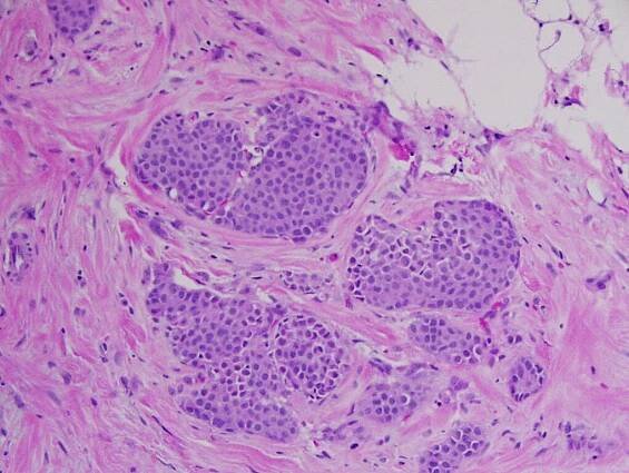
duktalní karcinom prsu in situ
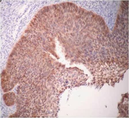
Uroteliální karcinom in situ (CIS)
LCIS, proliferace uniformních okrouhlých buněk se sníženou soudržností
Duktální karcinom in situ (DCIS) prsu – MyPathologyReport
Karcinóm in situ
normální anatomie prsu
Karcinom in situ 4.67/5 (6)
40_41_26
PPT - Kolorektální karcinom PowerPoint Presentation, free download - ID:5290455

In situ – Wikipedie

In situ je latinský termín, který v překladu znamená „na místě“, na původním místě, ve své poloze. [1 ]

carcinoma in situ / invazivní karcinom » Linkos.cz

Karcinom v počátečním stádiu, který je omezen jen na epitel a nepřekračuje bazální membránu, je označován jako carcinoma in situ.

karcinom in situ | NZIP

Karcinom in situ neboli CIS (zkratka pochází z anglického názvu carcinoma in situ) je uskupení abnormálních buněk, které zůstávají v místě, kde vznikly (tzn. ...

karcinom in situ | uLékaře.cz

Dobry den byl jsem na kolonoskopii.Zavěr.vnitřní neignif.hemorhoidy přisedlého polypu rektosigmatu,ojedinělé devertikly sigmatu,intermitsuboptimal.připrava,normální nalez do céka. polypozní útvar adenomatozního charakteru s dysplastickými…

Rakovina nultého stádia může být klíčem k přežití, ale většina…

National Geographic – Pravděpodobně jste slyšeli o čtyřech stádiích rakoviny – ale existuje ještě jedno, dokonce ranější stádium, o kterém odborníci říkají, že může znamenat obrovský rozdíl v léčbě této nemoci.

mamo.cz - Nový test buněk DCIS možná pomůže předvídat recidivu…

Nově vyvinutý test by mohl pomoci lékařům určit, které ženy trpí agresivní formou rakoviny prsu v mlékovodech (duktální karcinom in situ, DCIS), zatímco ostatní ženy by nemusely zbytečně podstupovat radioterapii.

Karcinom | frequenz-therapie.com

Karcinom je tedy maligní (zhoubné) onemocnění, které se vyvíjí z buněk sliznice (epitelových buněk) a nemusí být lokalizováno pouze v místě vzniku, ale může se metastázami rozšířit i do jiných částí těla.

Karcinom | Medicína, nemoci, studium na 1. LF UK

Karcinom (carcinoma) je označení pro maligní nádorové onemocnění, které vychází z epitelové tkáně. Speciálním podtypem je např. adenokarcinom, což je karcinom vznikající ze žlázového epitelu, a spinocelulární karcinom, který vzniká z…
Při pokusu o sdílení polohy došlo k chybě
Více informací
odkazuje na služby nejen od Seznam.cz.

© 1996–2025 Seznam.cz, a.s.