Ústní dutina jako zrcadlo celkového zdraví. Tyto signály raději nikdy neignorujte, můžete si pekelně zavařit
Infekce dutiny ústní a horních dýchacích cest
Infekce dutiny ústní a horních dýchacích cest
Infekce dutiny ústní a horních dýchacích cest
Infekce dutiny ústní a horních dýchacích cest
angina pectoris, faryngitida a tonzilitida. tonzilitida bakteriální a virová. infekce mandlí. otevřená ústa, anatomie. - patro ústa a ústní dutina stock ilustrace
8 zdravotních problémů, které lze identifikovat podle stavu ústní dutiny / Články
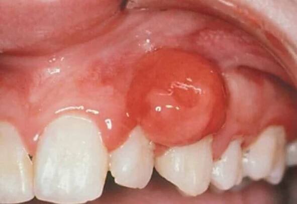
Fibróza ústní dutiny se může vyvinout do maligní formace / Články
Kandidóza - příznaky a léčba

Zánět sliznice úst a hrdla | Ozonidy.cz

Zánět sliznice úst a hrdla je typický svými příznaky, kterými jsou bolest, otok, podráždění či zarudnutí. Vyzkoušejte unikátní novinku Otorig ústní sprej.

Zánět ústní sliznice (stomatitida) | NZIP

Ve zdravé ústní dutině žije v přirozené rovnováze nespočet mikroorganismů, především asi 300 druhů bakterií a různé kvasinky. Porušením této rovnováhy může ...

Onemocnění sliznice ústní dutiny – repetitorium a atlas…

Onemocnění je vyvolané kvasinkami, nejčastěji rodu Candida (C. albicans, C. glabrata, C. tropicalis), které jsou za normálních okolností saprofyty dutiny ústní (v naší populaci u 40-50 % zdravých jedinců).

Zánětlivá onemocnění ústní dutiny a hltanu | Clinic+

Jaké jsou nejčastější zánětlivé nemoci ústní dutiny a hltanu? Zjistěte, co je způsobuje, jak je rozpoznat a jaké jsou možnosti léčby a prevence.

Zánětem v ústech trpí většina z nás, mnozí o tom ani nevědí

19. 11. 2014Z dlouhodobého sledování stavu ústní dutiny českými zubními lékaři vyšly velmi alarmující výsledky. Devět z deseti Čechů má v ústech nějaký druh závažného zánětu, přičemž většina o tom ani neví.
Neobsahuje infekceMusí obsahovat infekce

Stomatitida – Wikipedie

Příčinou stomatitid jsou nejčastěji infekce virového původu, případně bakterie, popálení, mechanické poškození sliznice. [2 ] U lidí je nejčastějším typem tzv. herpetická aftózní stomatitida neboli herpetická gingivostomatitida, způsobená…

Trápí Vás záněty dásní a dutiny ústní? | ActiMaris.cz

Novinka: Na tyto obtíže je nyní k dispozici ActiMaris gel na hojení ran ActiMaris Sensitiv 300ml – roztok na výplach a hojení…

Trápí vás záněty v ústní dutině? Zatočte s nimi!

Zjistěte, jak efektivně léčit a zmírnit příznaky zánětů v ústní dutině pomocí přírodních prostředků a kloktadel, včetně tipů na prevenci.

Infekce v ústní dutině – MUDr. Renáta Adamovská | Praktický…

Zánět ústních koutků (anguli infectiosi) se projevuje jako jednostranná či oboustranná trhlina se zarudnutím (tzv. prasklý ústní koutek).
Při pokusu o sdílení polohy došlo k chybě
Více informací
odkazuje na služby nejen od Seznam.cz.

© 1996–2025 Seznam.cz, a.s.