Folikulární lymfom je jednou ze světově nejrozšířenějších lymfoidních malignit. Obvykle je řazen mezi lymfomy charakteristické indolentním průběhem, část případů je však přesto spojena s agresivním chováním a nepříznivou prognózou. Jde tak o typický příklad nádorového onemocnění, které vyžaduje vysoce…

Folikulární lymfom - možnosti standardní léčby v roce 2007…

Úvod: Folikulární lymfom (FL) je druhý nejčastější Nehodgkinův lymfom (NHL). V Evropě tvoří asi 20-25% NHL u dospělé populace.1 FL grade 1-3a patří mezi indolentní lymfomy, FL grade 3b je klinicky blíže agresivnímu, difúznímu B…

Lymfomy: co to je? | NZIP

Lymfom je nádorové onemocnění, které začíná v buňkách imunitního systému, přesněji řečeno v lymfocytech. Existuje velké množství podtypů lymfomů. Dvěma hlavními ...
yağlı egzama ilaçları
Before & After | PRP HAIR RESTORATION | | GLANZ Aesthetics | Doral, FL
What is Molluscum Contagiosum? - Orlando FL - Dr. Jeannette Hudgens
Jak se zbavit pigmentových skvrn na kůži | JakZdravě.cz
Největší lež o slunci všech dob – INFOKURÝR
FLÅTT, LYME DISEASE - Patologiworld
seborrheic keratosis removal at Skin Cancer Center of Central Florida
Lymfomy a lymfoidní léze hlavy a krku » Linkos.cz
Svrab se šíří v uzavřených kolektivech, přímým kontaktem s nemocným, často při pohlavním styku, při spaní v jedné posteli, nebo při kontaktu s kontaminovanými předměty (ložní prádlo, oblečení).

Folikulární lymfom. Novinková léčba CAR-T buněčná terapie…

Folikulární lymfom je nádorové onemocnění krve. Povídat si budeme o jedinečné novinkové léčbě CAR-T buněčné terapii, která je připravovaná jen v několika laboratořích světa. Svůj příběh bude vyprávět pan Petr, který novinkovou léčbu…

Folikulární lymfom | proLékaře.cz

Folikulární lymfomy (FL) jsou druhým nejčastějším typem lymfomu a nejčastějším typem indolentním. V ČR tvoří zhruba 20 % všech lymfomů. [1]. Postihují jak nodální, tak i extranodální lokalizace a ve více než 50 % kostní dřeň.

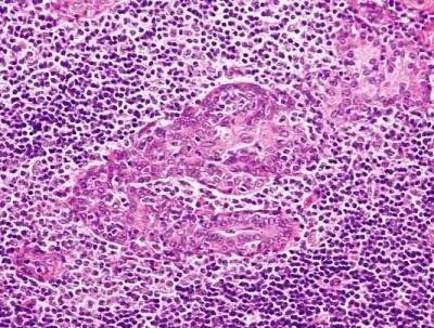
Folikulární lymfom a význam nádorového mikroprostředí…

Folikulární lymfom (FL) je indolentní B lymfoproliferace charakterizovaná pomalým růstem a rekurentním průběhem. Navzdory histologické uniformitě se klinicky jedná o značně heterogenní onemocnění.

Folikulární lymfom je nádorové onemocnění krve. Novinková léčba…

Folikulární lymfom je nádorové onemocnění krve. Povídat si budeme o jedinečné novinkové léčbě CAR-T buněčné terapii, která je připravovaná jen v několika laboratořích světa. Svůj příběh bude vyprávět pan Petr, který novinkovou léčbu…

Volvo FL, 210 shrnovačka EURO 6

Tachometr 198 950 km, vyrobeno 2016, nafta, nosnost 9400 kg, výkon 158 kW, objem 5 132 ccm, Hlavní město Praha

1 329 669 Kč

Volvo FL, Přepravník vozidel

Tachometr 341 700 km, vyrobeno 2013, nafta, nosnost 5000 kg, výkon 181 kW, objem 7 146 ccm, Plzeň-město

1 087 790 Kč

Volvo FL, 240,Manuál,hydraulické čelo

Tachometr 842 000 km, vyrobeno 2007, nafta, nosnost 12000 kg, výkon 177 kW, objem 7 146 ccm, Hlavní město Praha

108 900 Kč

Folikulární lymfom - Vít Procházka - Zbozi.cz

Folikulární lymfom - Vít Procházka na Zboží.cz. Srovnejte ceny, přečtěte si recenze, najděte podobné produkty a příslušenství.

Folikulární lymfom - Vít Procházka - Restorio.cz

Folikulární lymfom s příběhem, který nekončí, ale pokračuje ve vašich rukách. Vyzvedněte v Praze nebo si ji nechte doručit domů. Restorio.cz – knihy s příběhem
Cena 41 KčNení skladem

Přehled o publikaci

Folikulární lymfom (FL) je indolentní B lymfoproliferace charakterizovaná pomalým růstem a rekurentním průběhem. Navzdory histologické uniformitě se klinicky jedná o značně heterogenní onemocnění.
Při pokusu o sdílení polohy došlo k chybě
Více informací
odkazuje na služby nejen od Seznam.cz.

© 1996–2025 Seznam.cz, a.s.