Endokarditida – Wikipedie

Letalita (úmrtnost) při endokarditidě se pohybuje od 10 % do 30 %. Léčba infekční endokarditidy je založena na podávání antibiotik, při výrazném poškození chlopně je nutná chirurgická plastika chlopní či náhrada postižené chlopně protézou…

ObrázkyEndokarditida

Infekční endokarditida - co je to - příznaky, příčiny a léčba
Infekční endokarditida postihuje stále více Čechů. Jak se jí vyhnout?
Löfflerova endokarditida: vzácné, ale závažné onemocnění srdce s fatálními důsledky
Infekční endokarditida | Medicína, nemoci, studium na 1. LF UK
Endokarditida – WikiSkripta
Infekční endokarditida
Endokarditida – zánět srdeční výstelky – příznaky, příčiny a léčba
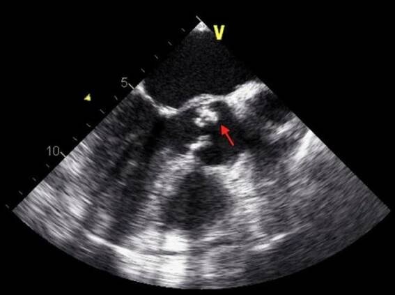
Endokarditida - vegetace na aortální chlopni na TEE
KOMPLIKOVANÁ INFEKČNÍ ENDOKARDITIDA U 18LETÉ PACIENTKY S BIKUSPIDÁLNÍ AORTÁLNÍ CHLOPNÍ: KAZUISTIKA | Kardio 365

Infekční endokarditida | IKEM

Infekční endokarditida je zánět vnitřního povrchu srdce neboli endokardu, který je způsobený mikroorganismy a postihuje zejména srdeční chlopně.

Infekční endokarditida postihuje stále více Čechů. Jak se jí vyhnout?

24. 2. 2019Ještě před několika lety znamenala práce pro Hedviku Černou celý její život. Pracovala od rána do večera a od večera do rána. Byla hrdá, jak ji šéf chválí…

7 Infekční endokarditida - Nemocnice Na Homolce

Veronika Lekešová - Definice - Infekční endokarditida je zánětlivé onemocnění, které postihuje primárně endokard (vnitřní…

Infekční endokarditida | uLékaře.cz

Infekční endokarditida je zánětlivé onemocnění srdečních chlopní a vnitřní výstelky srdce (endokardu). K častým projevům patří zvýšená teplota, srdeční šelest a krvácení do kůže. Infekční endokarditidu způsobují nejčastěji bakterie ze…

Za vznikem infekční endokarditidy může stát špatná ústní hygiena i pohlavní nemoc

10. 12. 2020Infekční endokarditida je závažné onemocnění srdce projevující se zánětem vnitřní výstelky komor (endokard) a chlopní srdce. Nemoc je obvykle…

Infekční endokarditida | Medicína, nemoci, studium na 1.

Infekční endokarditida je postižení vnitřní vrstvy srdce infekčním procesem. Tato vrstva (endokard) tvoří jako tenká blána výstelku srdečních síní, komor a chlopní. Infekci chlopní nejčastěji způsobují bakterie (a já budu pojednávat právě o…

Endokarditida - Anamneza.cz

Infekční endokarditida je infekční zánět srdeční nitroblány. Onemocnění přibývá u jedinců bez srdečního onemocnění a s nezměněnými chlopněmi, obvykle po lékařských nitrožilních výkonech, u narkomanů, a dále u pacientů s umělými chlopněmi.

Endokarditida

Endokarditida je zánět vnitřní výstelky srdce – endokardu (lat. endocardium) a z endokardu tvořených srdečních chlopní. Může být infekčního původu nebo výjimečně neinfekčního. Wikipedie

Při pokusu o sdílení polohy došlo k chybě
Více informací
odkazuje na služby nejen od Seznam.cz.

© 1996–2025 Seznam.cz, a.s.