Otok mozku, edém mozku neboli mozkový edém je život ohrožující stav, který může být důsledkem úrazu hlavy, cévní mozkové příhody, infekce, hypoxie, nádoru mozku apod. Mozek je uzavřen v pevné lebce, která se samozřejmě nemůže rozšiřovat; otok mozku proto utlačuje krevní cévy, snižuje průtok krve…

Edém – Wikipedie

Edém (latinsky: oedema), neboli otok, je stav, při kterém se v tkáni nebo orgánu vyskytuje více tekutiny, než za normálních fyziologických okolností.

ObrázkyEdém mozku

Edém mozku - příznaky a léčba
Mozkový edém / Edém
Mozkový edém / Edém | Užitečné informace a tipy na péči o sebe. Zdraví, výživa a další.
Difúzní edém mozku v důsledku hypoperfúze během operace v ECC
jak-se-projevuje-edem-otok-mozku-priznaky-projevy-symptomy-obrazek-fotografie
Opuch mozku, když je více - neznamená to lepší / Články
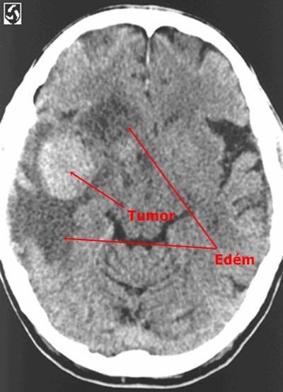
Perifokální edém mozku - CT | Medicína, nemoci, studium na 1. LF UK
MRI THE BRAIN.Středně pravidelný vazogenní edém s posunem o 0,7 cm na levou stranu.. — Stock obrázek
Intrakraniální tlak / Intrakraniální tlak
Mozkový edém / Edém | Užitečné informace a tipy na péči o sebe. Zdraví, výživa a další.

Atlas patologie pro studenty medicíny

Atlas of Pathology for pregraduate students: microscopic and clinical images of diseases at high resolution. Virtual microscope interface.

Otok mozku » Medixa.org

Edém mozku je zvládnutelný jen lékařskou péčí. V první řadě se snažíme snížit nitrolební tlak, například infuzním podáním roztoku manitolu, v některých případech i chirurgickým zákrokem.

The role of astrocytes in the formation of brain edema…

Edém mozku je obvykle rozdělován do dvou typů: vazogenní a cytotoxický. Rozvoj vazogenního edému mozku je spojen s poškozením hematoencefalické bariéry.

Edém mozku – WikiSkripta

Internetové studijní materiály pro studenty českých a slovenských lékařských fakult.

Otok mozku | Medicína, nemoci, studium na 1. LF UK

Otok mozku (mozkový edém) je specifickým otokem části těla. Ostatní oteklé orgány či tkáně se mohou relativně volně zvětšit, mozek je však uzavřen v lebce, a proto je jeho otok spojen s nebezpečným zvýšením nitrolebního tlaku.

Otok mozku může způsobit trvalé následky i smrt. Nejčastěji k němu dochází při úrazech hlavy

6. 11. 2023Otok mozku je život ohrožující stav, který má mnoho příčin. Jak dlouho trvá otok mozku? Co způsobuje otok mozku a jaké má otok mozku příznaky?
Co je to otok mozku?Otok mozku je stav, kdy mozková tkáň kvůli nahromaděné tekutině zvýší svůj objem. Intrakraniální tlak pak způsobuje zhoršení průtoku krve, což má za následek, že mozek není dostatečně okysličován. V důsledku tohoto stavu může dojít k poškození či odumření mozkových buněk.
Jaké jsou příčiny otoku mozku?Otok mozku může mít mnoho různých příčin od infarktu přes různé choroby až po pobyt v extrémní nadmořské výšce. Některé prameny uvádějí coby nejběžnější důvod otoku mozku infekci, traumatické poranění, onkologické nádory, ischemii nebo hemoragii.
Jaké má otok mozku příznaky?Otok mozku se projevuje mnoha různými příznaky, a to v závislosti na příčině jeho vzniku. Mezi běžné symptomy edému mozku patří kupříkladu bolesti hlavy nebo krku, závratě a nevolnost někdy spojená se zvracením, problémy s mluvením a pamětí, ztráta zraku nebo dokonce ztráta vědomí.
Při pokusu o sdílení polohy došlo k chybě
Více informací
odkazuje na služby nejen od Seznam.cz.

© 1996–2025 Seznam.cz, a.s.