…mukoviscidóza je geneticky podmíněné, chronické onemocnění, které postihuje převážně plíce a trávicí systém. Je charakterizováno hustým a lepkavým hlenem, který se hromadí v plicích i dalších orgánech. Toto poměrně vzácné, o to ale závažnější onemocnění významně ovlivňuje kvalitu života pacienta. Způsobuje vážné…

Cystická fibróza: Příznaky, diagnostika, léčba a prognóza - Jakbýtfit.cz
Když se řekne cystická fibróza (číslo 1 - 2 / 2014) | Archiv | Odborné články | FLORENCE - Odborný časopis pro ošetřovatelství
anatomie plic lidského dýchacího systému - cystická fibróza - stock snímky, obrázky a fotky
anatomie plic lidského dýchacího systému - cystická fibróza - stock snímky, obrázky a fotky
lidské vnitřní orgány mozek s anatomií plic - cystická fibróza - stock snímky, obrázky a fotky
Cystická fibróza a ostatní vrozené choroby plic – Máme rádi internu
Markéta (32) se narodila s cystickou fibrózou: Nemocné dusí hleny, choroba ničí plíce
Lidských plic s plícemi na modrém pozadí. lékařské plíce. — Stock obrázek
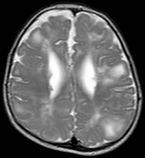
MRI mozku zobrazující subkortikální a subependymální hamartomy u pacienta s tuberózní sklerózou; T2-vážení, axiální řez mozkem.

Váš poradce pro lidské zdraví » Medixa.org

Informační portál zaměřený na zdraví.

Cystická fibróza - Plíce Pod Kontrolou

Cystická fibróza (CF) je závažné, nevyléčitelné dědičné onemocnění, které postihuje dýchací a trávící systém, a zkracuje život.

Plicní fibróza – Wikipedie

Plicní fibróza (doslova "zjizvení plic") je onemocnění dýchacích cest, v němž vznikají jizvy v plicní tkáni, což vede k vážným problémům s dýcháním.
Neobsahuje cystickáMusí obsahovat cystická

Cystická fibróza | NZIP

Cystická fibróza je závažné, dědičně podmíněné a nevyléčitelné onemocnění. Postihuje zejména dýchací cesty a trávicí trakt. V dýchacích cestách se nemocným ...
Při pokusu o sdílení polohy došlo k chybě
Více informací
odkazuje na služby nejen od Seznam.cz.

© 1996–2025 Seznam.cz, a.s.