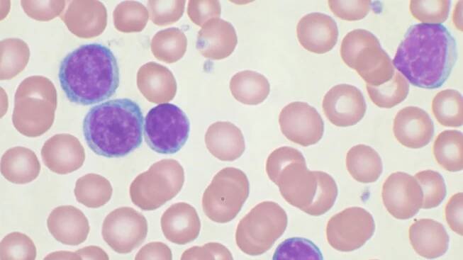
Chronické leukemie jsou nádorová onemocnění kostní dřeně, při kterých dochází k nadměrné produkci nemocných bílých krvinek a útlaku zdravých krvetvorných buněk s následných nedostatkem zdravých krvinek a zvětšením mízních uzlin, sleziny nebo jater. Na naší klinice poskytujeme komplexní diagnostiku a léčbu…

Akutní lymfocytární leukémie (ALL) – příznaky, příčiny a léčba
Proč vzniká polycytemie? Riziko vzniku chronické leukémie / Články
Rozdíl mezi leukémií akutní a chronickou
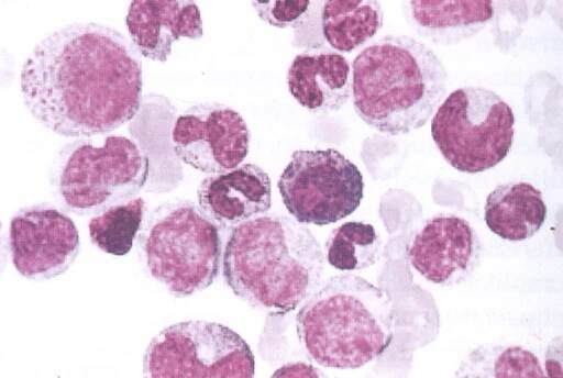
Chronická myeloidní leukemie
chronická leukémie
Leukémie
Únava, bolest kostí, horečka a slabost: Mohlo by se jednat o leukémii
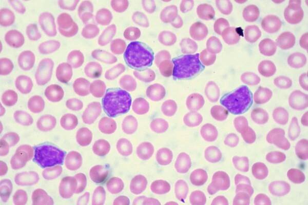
Chronická lymfocytová leukémie
CHRONICKÁ MYELOIDNÍ LEUKÉMIE

Váš poradce pro lidské zdraví » Medixa.org

Informační portál zaměřený na zdraví.

Chronické leukemie: léčba | NZIP

Chronická leukemie se vyvíjí pomalu: obvykle to trvá celé měsíce až roky. Léčba bývá méně agresivní než u akutní leukemie, ale pacienta zpravidla provází až ...

Leukemie – Wikipedie

Leukemie (nebo také leukémie, [1 ] [2 ] řecky leukos λευκός, „bílý“ a haima αίμα, „krev“, odtud i starší český termín bělokrevnost), zastarale též hemoblastózy, představují nádorová onemocnění, která vycházejí z krvetvorné tkáně a z…

Chronická myeloidní leukémie - Ordinace.cz

Chronická myeloidní leukémie je zhoubné krevní onemocnění, dnes však již patří mezi skupinu zhoubných chorob, které lze v určitém procentu...
Při pokusu o sdílení polohy došlo k chybě
Více informací
odkazuje na služby nejen od Seznam.cz.

© 1996–2025 Seznam.cz, a.s.