Burkittův lymfom – Wikipedie

Burkittův lymfom je lymfom (typ nádorového onemocnění) postihující především B-lymfocyty. Příčinou je určitý typ mutace v těchto imunitních buňkách.

Burkittův lymfom » Medixa.org

EBV je kromě Burkittova lymfomu zodpovědný také za infekční mononukleózu.

Záhada Burkittova lymfomu vyřešena - Časopis Vesmír

Burkittův lymfom je velmi agresivní nádorové onemocnění lymfatického systému. Nemoc nejvíce napadá děti v rovníkové Africe, sporadicky se však...

Burkittův lymfom | frequenz-therapie.com

Pokud je Burkittův lymfom diagnostikován v časném stadiu, lze jej dobře léčit. Navíc čím méně orgánů je Burkittovým lymfomem postiženo, tím větší je šance na vyléčení.

Burkittův lymfom: přehled patofyziologie, diagnostiky a terapie…

Burkittův lymfom dnes patří mezi potenciálně kurabilní onemocnění.

Burkittův lymfom | Medicína, nemoci, studium na 1. LF UK

Burkittův lymfom [Bárkitův lymfom] je v České republice vzácné onemocnění, které můžeme řadit mezi lymfomy, tj. nádorová onemocnění vycházející z bílých krvinek známých jako lymfocyty.

Burkittův lymfom - Profi Medicína

Burkittův lymfom je vzácné nádorové onemocnění, patřící k nehodgkinským lymfomům. Jde o agresivně se chovající, nicméně vysoce chemosenzitivní chorobu…

Diagnostika a léčebné výsledky pacientů s Burkittovým lymfomem

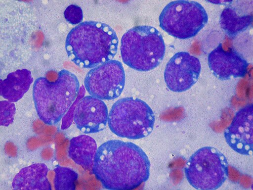
Úvod: Burkittův lymfom (BL) patří mezi vysoce agresivní zralá B lymfoproliferativní onemocnění s typickou chromozomální translokací c-myc (8;14).

Výsledky vyhledávání pojmů rejstříku | NZIP

Snadno si vyhledejte garantované informace o zdravém životním stylu a nemocích, rady a doporučení v životních situacích i kontakt na svého lékaře.

Burkittův lymfom. » Linkos.cz

Burkittův lymfom (BL) je maligni B cell lymfoproliferace s výrazným výskytem v tropické oblasti Afriky a New Guiney, endemicky BL, s konstantně přítomným virem Epstein-Barrove (EBV) v maligních buňkách.

Burkittův lymfom

Burkittův lymfom je lymfom (typ nádorového onemocnění) postihující především B-lymfocyty. Příčinou je určitý typ mutace v těchto imunitních buňkách. Je pojmenován po objeviteli tohoto lymfomu, chirurgovi D. P. Burkittovi. Wikipedie

Při pokusu o sdílení polohy došlo k chybě
Více informací
odkazuje na služby nejen od Seznam.cz.

© 1996–2025 Seznam.cz, a.s.