Anaplasma phagocytophilum je bakterie, která způsobuje lidskou granulocytární anaplazmózu. Infekci na člověka obvykle přenášejí klíšťata rodu Ixodes, tedy i klíště obecné (lat. Ixodes ricinus), které se běžně vyskytuje v České republice.

Anaplazmóza – Wikipedie

Anaplazmóza je onemocnění přenášené klíšťaty, které postihuje přežvýkavce, psy, koně [1 ] a vzácně i člověka [2 ], je způsobeno bakterií rodu Anaplasma.

Test klíštěte na Anaplasma phagocytophilum - diagnostika…

Test klíštěte na Anaplasma phagocytophilum (ehrlichia) zjišťuje přítomnost patogenu, který způsobuje lidskou granulocytární anaplazmózu, a pomáhá při včasné prevenci.

Ehrlichia Phagocytophilum (Anaplasma) IgG, IgM | GenX

Ehrlichia Phagocytophilum (Anaplasma) IgG, IgM. Test Ehrlichia phagocytophilum (Anaplasma) IgG, IgM detekuje přítomnost protilátek proti bakterii Ehrlichia phagocytophilum (dříve označované jako Anaplasma), která způsobuje lidskou…
Cena 3 520 Kč

Soubor:Anaplasma-phagocytophilum-sheep.jpg – Wikipedie

English: This bacterium is transmitted by Ixodes ricinus ticks to deer, sheep and cattle. It specifically infects the neutrophil white cells of the host's blood, causing a suppression of immunity against bacterial infection.

Anaplasma phagocytophilum, Borrelia burgdorferi s.l., Coxiella…

Cílem práce byla detekce Anaplasma phagocytophilum, Borrelia burgdorferi s.l., Coxiella burnetii, Erhlichia sp. a Francisella tularensis u drobných savců odchycených na třech různých lokalitách v okolí Brna s cílem vyhodnotit míru rizika…

Séroprevalence Anaplasma phagocytophilum u pacient…

A. phagocytophilum je v Evropě přenášena klíštětem obecným (Ixodes ricinus). Anaplazmóza je po lymeské borrelióze a evropské klíšťové encefalitidě třetím nejčastějším onemocněním přenášeným I. ricinus.

Anaplasma phagocytophilum - Státní veterinární ústav Praha

Bakteriální onemocnění přenášené klíšťaty způsobující multisystémové onemocnění. Projevuje se letargií , ataxií, nechutenstvím; laboratorně anémií a leukopénií.

Anaplazmóza (lidská granulocytární anaplazmóza) - SZÚ…

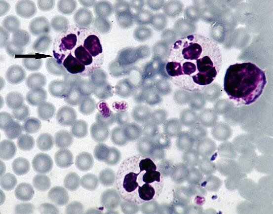
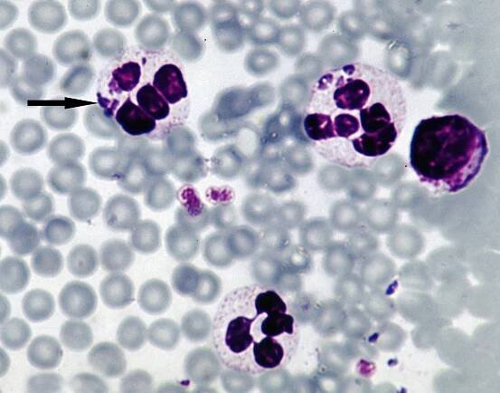
Toto onemocnění je způsobené velice drobnými intracelulárními bakteriemi Anaplasma phagocytophilum patřící do řádu Rickettsiales, které infikují bílé krvinky (neutrofilní granulocyty) hostitele a způsobují závažné onemocnění, nazývané…
Při pokusu o sdílení polohy došlo k chybě
Více informací
odkazuje na služby nejen od Seznam.cz.

© 1996–2025 Seznam.cz, a.s.